欢迎   |  注销

医患同心 - 副本

2024-11-25 13:56

医患同心,小小粒子为她创造生命奇迹!

随着科技进步和医疗水平的不断提高,一匹肿瘤治疗界的“黑马”——放射性碘粒子植入术横空出世,为控制肿瘤增添了“新武器”。这匹“黑马”到底有什么样的功力?

今天,我们走进马鞍山十七冶医院肿瘤科,来看一看吴女士的故事,或许会有更不一样的体会和感受。


  1. 平静的生活突遭厄运


2023年年初,64岁的吴女士无明显诱因下出现咳嗽咳痰的情况,起初她并未在意,只以为是感冒,直到有一天晨起时,她发现自己的痰中带有血丝。她慌了神,当即来到马鞍山十七冶医院检查。

医生看了她的CT检查报告,建议她行PET-CT及气管镜检查进一步检查,检查结果出来之后,当吴女士听到医生说“右肺小细胞肺癌伴淋巴结转移,右侧肾上腺转移……”时,她平静的生活被彻底打乱了。

在家人的安慰下,原本心急如焚的吴女士慢慢接受了这个事实。

住进医院之后,肿瘤科科主任史永龙每天带着医生团队查房,密切关注吴女士的身体状况,但肿瘤进展迅速,吴女士看起来更加消瘦,家人坐在床边整日以泪洗面。


  1. 个性化诊疗,奋力一搏


为明确下一步治疗方案,马鞍山十七冶医院肿瘤科专家团队经过充分讨论与评估,一致认为:患者系小细胞肺癌晚期,肿瘤恶性程度高,病情进展快,建议免疫联合全身系统治疗后,序贯免疫治疗维持,后随访评估肺部病灶明显缩小,后期随访过程中患者右侧肾上腺转移灶明显增大。

结合吴女士体质状况及家属强烈的抗肿瘤治疗意愿,我院肿瘤科专家团队为吴女士制定了个性化的方案,拟行右侧肾上腺病灶放射性粒子植入术局部介入治疗。

吴女士还记得会诊当天的场景,医生们都面色凝重,吴女士的丈夫在一旁红了眼眶,他说:“因为病情严重,治疗机会可能很渺茫。但如果不试一试,就完全没机会了,所以无论如何,我们都得试试。”

所有人都在期待,奇迹会发生吗?


  1. 抗癌路上,医患同心


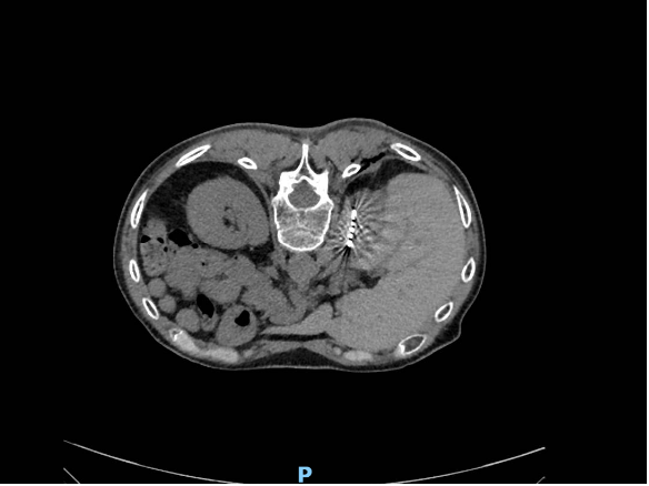
经过精心的术前准备,史永龙科主任带领肿瘤科医生团队,为吴女士成功实施了放射性粒子植入术,在CT引导下将放射性碘125粒子精准地沿穿刺路径植入病灶内。


术后当天卧床观察,次日吴女士即可下床活动。


幸运的是,两个月后复查时,吴女士的转移灶已经基本消失,结合其他治疗,吴女士的病情也开始逐步好转,一家人充满了信心,也更加积极主动地配合治疗。


粒子植入治疗前右侧肾上腺病灶(红色标记圈)

粒子植入治疗后右侧肾上腺病灶消失


据史永龙科主任介绍,放射性粒子治疗的优势在于:手术时间短、创伤小、恢复快,能够保存机体重要脏器及功能;与手术、化疗、外放疗等传统治疗配合使用,起到互补的效应;目前国内粒子置入治疗应用较多的恶性肿瘤包括直肠癌、前列腺癌、肾脏肿瘤、肾上腺肿瘤、肺癌、头颈部肿瘤、胰腺癌、肝癌等,适应于:外放疗需要补充提高剂量的患者;转移瘤或孤立性转移病灶无手术指征的患者;其他治疗手段治疗失败的患者;或因局部病灶引起严重症状者;应用放射性粒子治疗从而达到控制病灶,缓解症状,延长生存期,提高生活质量的治疗目的。

目前,吴女士还在继续抗癌治疗中,她的身体和精神状态已经大有改善。

当看到肿瘤患者一次次挺过生死难关,史永龙主任感慨不已:“事实上,每一次的治疗都远比想象中复杂和艰辛,我们作为医生,只有做好充分的准备,才能应对可能的挑战。”

医路漫漫,任重道远。未来,我院肿瘤科将一如既往,坚守初心,以更加专业的技术,更加优质的服务,为患者的健康保驾护航,为延长肿瘤患者的生命而努力!



人点赞